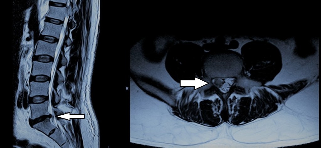
Constituye la causa más frecuente de lumbociática en personas entre 20 y 60 años. Se produce debido a la degeneración del disco intervertebral, lo que da lugar a una rotura de su anillo fibroso y al desplazamiento posterolateral del material discal que provoca una compresión de las raíces nerviosas que interesan a la extremidad inferior. Nos referimos a protrusión cuando existe un desplazamiento global del disco sin que llegue a tener lugar la herniación del mismo ni la repercusión sobre estructuras nerviosas. Tanto hernias como protrusiones aparecen con mayor frecuencia en los segmentos L4-L5 y L5-S1. La sintomatología típica cuenta con una fase incial en la que tiene lugar un dolor en la región lumbar que después pasa a irradiarse a una de las extremidades inferiores a través de la región glútea, cara posterior del muslo y cara lateral de la pierna.

La sintomatología suele mejorar a lo largo de 6-8 semanas con tratamiento analgésico y antiinflamatorio, calor local y reducción de la actividad (evitando el reposo absoluto). En aquellos casos en los que no existe mejoría debe valorarse la posibilidad de intervención quirúrgica, que en casos adecuadamente seleccionados va a proporcionar una alta tasa de éxito. En raras ocasiones además de la sintomatología descrita puede tener lugar la aparición de afectación de esfínteres, paresia severa en la extremidad inferior o dolor incoercible en cuyo caso ha de valorarse la intervención urgente.
Hernia discal cervical
Frecuentes, aunque menos que las hernias discales lumbares. Al igual que éstas se originan debido al desplazamiento de material discal al canal raquídeo con la consiguiente compresión de estructuras neurológicas. Suelen localizarse en el segmento comprendido entre las vértebras C3 y C7. Típicamente pueden dar lugar a dos cuadros clínicos:
-Por un lado, la cervicobraquialgia, propia de hernias discales cervicales laterales causantes de compresión radicular. Este cuadro tiene aparición sobre todo en menores de 50 años y produce un dolor cervical irradiado al hombro y a uno de los brazos (“braquialgia”) en forma de “calambre eléctrico”. Generalmente no asocian lesión medular y suelen mejorar en 6-8 semanas con analgesia, calor e higiene postural. En caso de persistencia del cuadro o episodios frecuentes debe valorarse la intervención quirúrgica.
El otro cuadro característico es la aparición de mielopatía cervical debido a la ocupación central del canal raquídeo por material discal y osteofitos (prominencias óseas en los bordes de la vértebras debidas a los fenómenos degenerativos). Esto da lugar a un estrechamiento o estenosis del canal cervical que de forma mantenida comprime e induce un daño en la médula espinal (mielopatía), lo que se traduce en la aparición de torpeza para los movimientos finos en las manos y dificultad para la marcha. Puede dar lugar a la pérdida progresiva de fuerza y sensibilidad en las cuatro extremidades. Todo ello hace que en su presencia deba valorarse el tratamiento quirúrgico.
Más información en:
Hernia discal lumbar: ¿Tratamiento conservador o quirúrgico?
Influencia del uso preoperatorio de opiáceos en los resultados de la cirugía de columna
