
Dr. Antonio J Vargas López (Colegiado 042867224)
Neurocirujano y Cirujano de Columna
Licenciado en Medicina en la Universidad Complutense de Madrid
Examen MIR: Puesto 20 de entre más de 11.000 aspirantes
Especialista en Neurocirugía via MIR en el Hospital General Universitario Gregorio Marañón
Máximo nivel de Acreditación y Certificación de la Competencia Profesional con el reconocimiento de Neurocirujano Excelente por la Agencia Andaluza de Calidad Sanitaria (ACSA)
Profesor Universitario en el Area de Medicina de la Universidad de Almería (UAL)
Actualmente presta servicios en Almería en:
Especialista en el tratamiento de la hernia discal en Almería
Conozca el tratamiento de la hernia discal mediante microcirugía

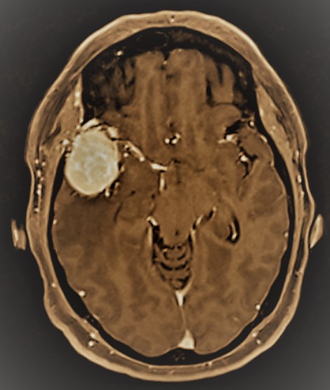
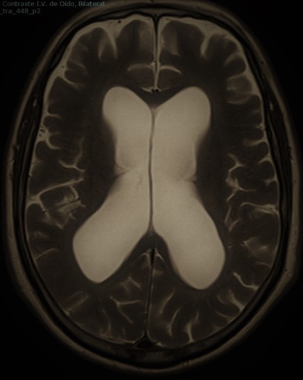
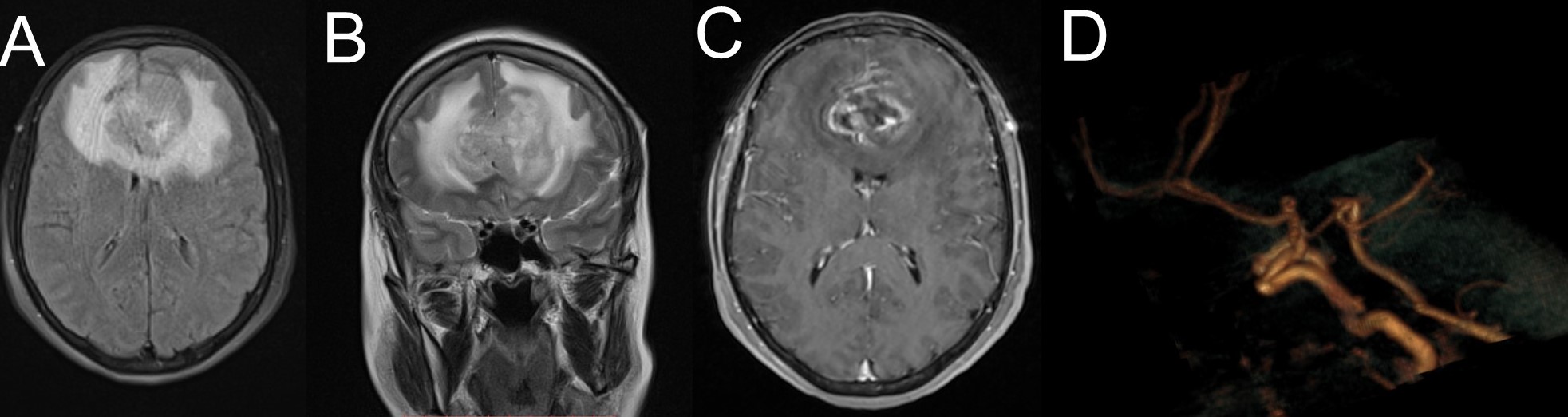
Tratamiento microquirúrgico de tumores cerebrales
Con una metodología de trabajo definida por nuestro firme compromiso con:
1. Seguridad del paciente
2. Planificación quirúrgica
3. Excelencia en la técnica microquirúrgica
4. Compromiso con el conocimiento científico

Nuestras últimas publicaciones científicas
Ultimas noticias:
- Accesos mínimamente invasivos a columna como medio para la preservación de la musculatura paraespinal
- La Microcirugía como herramienta transversal en Cirugía de Columna y Neurocirugía Oncológica
- Medicina de precisión aplicada a la Cirugía de Columna
- Aspectos clave en la recuperación tras una radiofrecuencia facetaria
- Pasos clave en la recuperación tras una cirugía cerebral
Consulta de Segunda Opinión en Columna
¿En qué situaciones debo solicitarla?
-No tengo claro mi diagnóstico o tengo dudas sobre el diagnóstico que he recibido
-Quiero conocer si un tratamiento tiene riesgos
-Quiero comparar y contrastar la información de varios profesionales antes de tomar una decisión
-Deseo conocer otros tratamientos posibles o terapias alternativas a las que se me han planteado


































