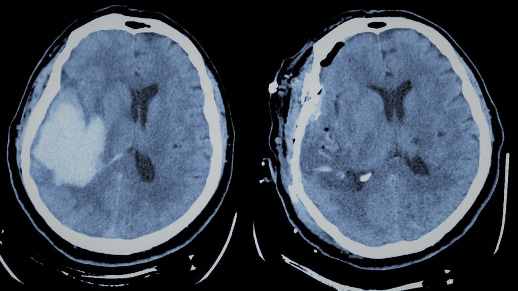
- Accidente cerebrovascular hemorrágico ó hemorragia cerebral espontánea: En él la hemorragia tiene lugar en el interior del parénquima cerebral. Su causa más frecuente es la hipertensión. En otros casos puede deberse al debilitamiento de los vasos sanguíneos debido a la “angiopatía amiloide”, típica de personas mayores de 70 años. Facilitada por los tratamientos anticoagulantes, puede también estar provocada por las lesiones previamente descritas (aneurismas, MAVs, tumores cerebrales, etc). Se trata de un cuadro grave que generalmente suele manifiestarse del mismo modo que un ictus. Ha de considerase la evacuación quirúrgica en caso de que la hemorragia alcance un volumen crítico, se acompañe de un deterioro del nivel de conciencia y se localice en un punto accesible.

- Hemorragia subaracnoidea espontánea: Se denomina así a la hemorragia cerebral que tiene lugar por debajo de la aracnoides, esto es, la capa meníngea intermedia que rodea el parénquima cerebral. Se trata de un cuadro de gravedad extrema con una mortalidad en torno a un 50%. Suele presentarse como una cefalea muy intensa referida comúnmente como “la peor cefalea de mi vida”, seguida de náuseas, vómitos, fotofobia, así como dolor y rigidez cervical. Puede provocar la pérdida de la conciencia incluso el coma de rápida instauración, generalmente en los casos más graves, de manera que se estima que un 10-15% de los casos pueden fallecer de forma súbita. Están provocadas en un 75-80% de casos por la ruptura de aneurismas cerebrales, esto es, dilataciones anormales de las arterias cerebrales debidas el daño en la pared de las mismas. Pueden complicarse con la aparición de hidrocefalia, en cuyo caso será necesaria una intervención quirúrgica para la derivación del líquido cefalorraquídeo. Otra de las complicaciones asociadas más temidas es el resangrado precoz, provocado por la persistencia de la causa que ha generado la hemorragia, generalmente un aneurisma. A partir del cuarto día pueden aparecer el vasoespasmo y la isquemia cerebral diferidas, complicaciones debidas a la contracción de las arterias cerebrales ante la presencia de sangre a su alrededor. El diagnóstico de la hemorragia subaracnoidea se lleva a cabo mediante el TAC craneal o bien la punción lumbar en los casos en los que el primero no resulte esclarecedor. Debe realizarse un angioTAC para tratar de determinar la causa que ha provocado el sangrado, así como una arteriografía cerebral mediante cateterismo cerebral, para poder alcanzar el diagnóstico definitivo y ,en ocasiones, poder ocluir la lesión culpable del sangrado.
- Hemorragia subaracnoidea angionegativa: Representa aproximadamente un 15% de la totalidad de las hemorragias subaracnoideas. Se caracterizan por la ausencia de una lesión vascular identificable como causante de la hemorragia. Suelen localizarse alrededor del tronco del encéfalo y en general tienen un comportamiento mucho más benigno con excelentes resultados.
