¿Qué enfermedad causa el dolor de espalda?
El dolor dorsolumbar constituye uno de los principales motivos de consulta médica. Su origen puede tener lugar en cualquiera de las estructuras que constituyen esta región anatómica. En la mayoría de las ocasiones suele autolimitarse y desaparecer en pocos días con ayuda de tratamiento analgésico convencional. Sin embargo, en otros casos tiende a cronificarse llegando a ser altamente incapacitante. En estos casos es frecuente que se recurra a diferentes pruebas de tratamiento farmacológico haciendo uso en ocasiones de potentes analgésicos capaces de mermar las capacidades psicofísicas y generar hábito de consumo. Todo ello además sin que exista un diagnóstico certero de la causa que ha provocado este dolor. En otros casos, se recurre directamente a terapias físicas y manipulaciones en la zona sin un diagnóstico previo, lo que en algunos casos puede empeorar la condición.
El conocimiento de las causas que provocan el dolor en cada caso, resulta esencial a la hora de definir una estrategia terapéutica precisa y dirigida. Para ello, es necesario recibir atención médica por parte de un especialista en columna.
A continuación se resumen las principales causas que pueden dar origen a este tipo de dolor:
-Hernia discal lumbar: Representa la causa más frecuente de lumbociática en personas entre 20 y 60 años. Se produce debido a la degeneración del disco intervertebral lo que da lugar a una rotura de su anillo fibroso y al desplazamiento posterolateral del material discal que provoca una compresión de las raíces nerviosas que interesan a la extremidad inferior. Nos referimos a protrusión cuando existe un desplazamiento global del disco sin que llegue a tener lugar la herniación del mismo ni la repercusión sobre estructuras nerviosas. Tanto hernias como protrusiones aparecen con mayor frecuencia en los segmentos L4-L5 y L5-S1. La sintomatología típica cuenta con una fase inicial en la que tiene lugar un dolor en la región lumbar que después pasa a irradiarse a una de las extremidades inferiores a través de la región glútea, cara posterior del muslo y cara lateral de la pierna. La sintomatología suele mejorar a lo largo de 6-8 semanas con tratamiento analgésico-antiinflamatorio, calor local y reducción de la actividad (evitando el reposo absoluto). Aquellos casos en los que no existe mejoría debe valorarse la posibilidad de intervención quirúrgica, que en casos adecuadamente seleccionados va a proporcionar una alta tasa de éxito. En raras ocasiones además de la sintomatología descrita puede tener lugar la aparición de vejiga neurógena, paresia severa en la extremidad inferior o dolor incoercible en cuyo caso ha de valorarse la intervención urgente.

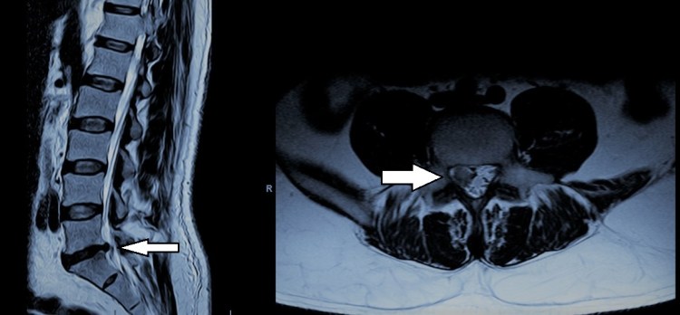
-Estenosis de canal (raquiestenosis) lumbar: En estos casos es el estrechamiento global del canal raquídeo lo que condiciona la compresión de las raíces nerviosas que se dirigen a las extremidades inferiores. Aparece sobre todo a nivel L4-L5 seguido de L5-S1 y L3-L4. Tiene lugar fundamentalmente en personas mayores de 60 años y se debe a la progresiva degeneración de las articulaciones y ligamentos que unen las vértebras. Este proceso de desgaste genera un aumento o hipertrofia que deforma dichas estructuras de manera que invaden el espacio destinado a las raíces nerviosas provocando la compresión e irritación de las mismas. Esto se traduce en la aparición de un dolor lumbar irradiado a ambas regiones glúteas y en ocasiones a ambas extremidades inferiores. El dolor se desencadena estando de pie y mejora característicamente al estar sentado pues esta posición ensancha parcialmente el canal raquídeo. Ello da lugar a la denominada “claudicación neurógena de la marcha”, por la cual recorrida una distancia, la persona que sufre de raquiestenosis lumbar tiene que detenerse y sentarse. La distancia a la que aparece la claudicación neurógena va disminuyendo de forma progresiva de manera que los pacientes que sufren este cuadro ven deteriorada su calidad de vida con el tiempo. En estos casos debe valorarse el tratamiento quirúrgico, el cual ofrece un índice de mejoría superior al 90%.

-Estenosis de receso lateral y estenosis foraminal: Se trata de una variante de raquiestenosis lumbar en la que existe una hipertrofia ósea focal que afecta a la zona lateral del canal, de manera que provoca una compresión que en lugar de afectar a todo el conducto raquídeo, afecta a la raíz nerviosa bien en el tramo situado a su salida del saco dural previo a abandonar el conducto raquídeo (estenosis de receso) o bien en el tramo inmediatamente distal (estenosis foraminal). Puede ser uni o bilateral. Sus manifestaciones clínicas son similares a las de la hernia discal. En caso de persistencia de la sintomatología debe valorarse el tratamiento quirúrgico.

-Espondilolistesis lumbar: Por listesis entendemos el desplazamiento de una vértebra sobre otra en el plano sagital. Sus orígenes más frecuentes son el degenerativo ( propio de adultos de mediana y avanzada edad en los que la listesis suele acompañarse de un grado variable de raquiestenosis) o el espondilolítico (en adultos jóvenes y de mediana edad en los que tiene lugar la lisis o rotura de la pars interarticularis, una porción de la vértebra que interesa a la articulación intervertebral facetaria). Las listesis se clasifican en la escala de Meyerding en cinco escenarios según el grado de desplazamiento. La sintomatología de la listesis es el dolor lumbar mecánico que en ocasiones puede acompañarse de sintomatología radicular (radiculopatía) sobre todo en los casos en los que existe también estenosis de canal raquídeo. En caso de sintomatología persistente y ausencia de mejoría con medidas conservadoras, debe valorarse la intervención quirúrgica.

-Discopatía lumbar degenerativa: Se caracteriza por la deshidratación y pérdida de altura del disco intervertebral. Puede acompañarse de cambios reactivos en los cuerpos vertebrales adyacentes (cambios tipo Modic). Constituye una causa frecuente de lumbalgia mecánica no irradiada que suele mejorar con la implementación de analgesia, calor local y ejercicio terapéutico.
-Hernia discal dorsal: Mucho menos frecuentes que las hernias discales lumbares y cervicales. Asocian generalmente dorsalgia no irradiada. La mayoría mejora con tratamiento conservador. Sin embargo, en caso de que generen compresión a nivel de la médula espinal pueden dar lugar a un cuadro de mielopatía con ataxia de la marcha y paraparesia espástica precisando intervención quirúrgica.

–Fracturas vertebrales: Frecuentes sobre todo en la columna dorso-lumbar, pueden aparecer como consecuencia de mecanismos muy diversos; desde grandes traumatismos, en cuyo caso su tratamiento puede estar condicionado por la presencia de otras lesiones, o bien tras traumatismos banales o incluso de forma espontánea, sin traumatismo alguno. Estos últimos casos definen las “fracturas patológicas” en las que es preciso buscar una causa subyacente estructural o sistémica que haya provocado el debilitamiento óseo. Esta situación es especialmente frecuente en mujeres tras la menopausia debido al desarrollo de osteoporosis. Estos casos precisan iniciar un tratamiento para compensar la desmineralizacón ósea. El tratamiento de las fracturas depende fundamentalmente del grado de deformidad asociado, la afectación de ligamentos (ambos aspectos definen la presencia o no de inestabilidad) y el que exista o no una lesión neurológica. En caso de fracturas estables sin déficit neurológico se emplea una ortesis mientras que en presencia de inestabilidad o afectación neurológica debe valorarse la cirugía.

-Tumores espinales: Dan lugar a una gran variedad de situaciones debido a que pueden afectar a diferentes compartimentos: óseo (tumores primarios o metástasis con o sin extensión al canal raquídeo; siendo los hemangiomas los más frecuentes), intradural-extramedular (los más frecuentes meningiomas y algunos neurinomas) e intradural-intramedular (astrocitomas y ependimomas). Suelen manifestarse con dolor, alteración de la sensibilidad y/o fuerza en las extremidades acompañada o no de alteración esfinteriana. Van a precisar cirugía en caso de que generen inestabilidad vertebral, déficit neurológico o muestren un comportamiento agresivo.

