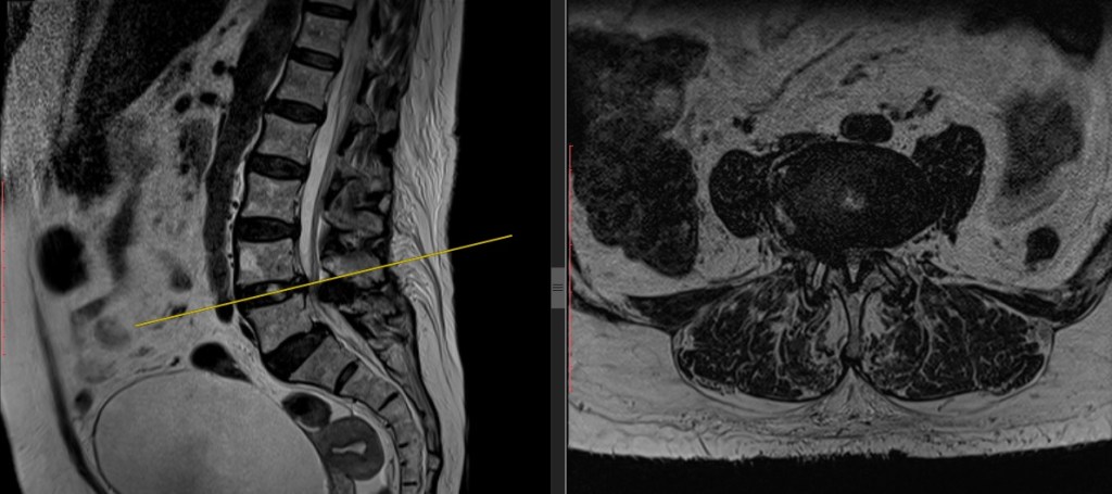
Se define por el estrechamiento del canal raquídeo, lo que condiciona la compresión de las raíces nerviosas que se dirigen a las extremidades inferiores. Aparece sobre todo a nivel L4-L5 seguido de L5-S1 y L3-L4. Tiene lugar fundamentalmente en personas mayores de 60 años y se debe a la progresiva degeneración de las articulaciones y ligamentos que unen las vértebras. Este proceso de desgaste genera un aumento o hipertrofia que deforma dichas estrucuras de manera que invaden el espacio destinado a las raíces nerviosas provocando la compresión e irritación de las mismas. Esto se traduce en la aparición de un dolor lumbar irradiado a ambas regiones glúteas y en ocasiones a ambas extremidades inferiores.

El dolor se desencadena estando de pie y mejora característicamente al estar sentado pues esta posición ensancha parcialmente el canal raquídeo. Ello da lugar a la denominada “caludicación neurógena de la marcha”, por la cual recorrida una distancia, la persona que sufre de raquiestenosis lumbar tiene que detenerse y sentarse. La distancia a la que aparece la claudicación neurógena va disminuyendo de forma progresiva de manera que los pacientes que sufren este cuadro ven deteriorada su calidad de vida con el tiempo. En estos casos debe valorarse el tratamiento quirúrgico, el cual ofrece un índice de mejoría superior al 90%.
Más información: https://neurocirugialmeria.com/2020/07/19/posibilidades-de-tratamiento-de-la-patologia-de-columna-lumbar/




