
Desde 2019 la Unidad de Cirugía de Columna dirigida por el Neurocirujano Antonio José Vargas López lleva a cabo el tratamiento integral de las enfermedades de la columna vertebral, tanto aquellas que precisan de un enfoque quirúrgico como otras en las que va a predominar el manejo conservador con la instauración de terapia física y ejercicio terapéutico o bien el empleo de tratamientos percutáneos para el control del dolor.

Para ello nuestra metodología de trabajo se sustenta en los siguientes principios:
1. Accesibilidad
No es posible una atención adecuada sin que ésta tenga lugar en el tiempo y forma deseables.
De esta manera adaptamos nuestra disposición a las demandas de la ciudadanía, teniendo en cuenta el aumento progresivo en la frecuencia de las enfermedades que tratamos y su penetrancia en tramos de edad avanzada.
Por ello, ampliamos nuestra colaboración con diferentes centros y organizaciones, además de ofrecer la posibilidad de atención telemática mediante diferentes vías.

2. Seguridad del paciente
Representa nuestra máxima prioridad.
Trasladamos además este concepto más allá de la sala de operaciones y de la hospitalización, pues entendemos que la seguridad del paciente comienza con la atención recibida en la consulta: con el tipo de información que éste recibe.
Tratamos así de trasladar una información clara, alejada de mitos y exageraciones que condicionen la toma de decisiones.
Tratamos además de elegir tratamientos proporcionales a la patología a la que nos enfrentemos en cada caso, optando por enfoques basados en la minimización de riesgos.
Un paciente bien informado es un paciente a salvo

3. Técnicas mínimamente invasivas
Tratamos en cada caso de ofrecer un tratamiento de precisión, lo más ajustado posible al problema de cada paciente.
De esta manera, basándonos en la Microcirugía y en los Accesos percutáneos mínimamente invasivos podemos en la mayor parte de los casos ofrecer un tratamiento efectivo, con los menores riesgos posibles, así como favorecer la pronta recuperación.

Nuestra actividad incluye el tratamiento sobre las patologías que afectan a los diferentes tramos o segmentos de la columna vertebral, los cuáles describimos a continuación:
- Unión craneocervical: Trastornos como las fracturas del complejo craneocervical (cóndilos occipitales, complejo atoloaxoideo), inestabilidades crónicas de la unión craneocervical u otras entidades como la malformación de Chiari.

- Columna cervical: hernias discales cervicales, fracturas, mielopatía cervical o tumores.
- Columna dorsal: hernias dorsales, protrusiones, fracturas, mielopatía dorsal o afectaciones tumorales
- Columna lumbosacra: hernias discales, protrusiones, discopatías degenerativas, estenosis de receso lateral, foraminal, fracturas lumbares o afecciones tumoraes.
Nuestros tratamientos se centran, por tanto, sobre los diferentes procesos que pueden afectar a la columna vertebral: degenerativos, traumáticos y tumorales
- Patología degenerativa de columna vertebral: Supone el motivo de consulta más frecuente. Comienza a desarrollarse en la tercera década de la vida y está caracterizada por el desgaste de:
- Elementos óseos: cuerpos vertebrales y articulaciones facetarias.
- Partes blandas adyacentes: disco intervertebral, ligamento amarillo, que dan soporte a la columna.
Todo ello da lugar a que se originen las discopatías degenerativas, protrusiones, hernias discales, estenosis de canal e inestabilidades vertebrales debidas a la insuficiencia de las articulaciones facetarias.
Patología traumática de la columna vertebral: Está representada por las fracturas vertebrales. Este fenomeno cada vez más frecuente debido a la alta prevalencia de la osteoporosis va a dar lugar a la ruptura de los elementos óseos que conforman las vértebras, a veces motivada por traumatismos menores, lo que además de dolor importante puede generar fenómenos de inestabilidad y/o lesiones neurológicas debidas a la compresión de la médula espinal o las raíces nerviosas.

- Patología tumoral de la columna vertebral: Existen gran variedad de procesos tumorales que pueden afectar tanto a los elementos óseos de la columna vertebral como a las estructuras neurologicas contenidas en el interior de la misma y a sus cubiertas.
- En cuanto a los tumores que afectan a los elementos óseos de la columna, los hemangiomas vertebrales son los más frecuentes en hasta un 10% de la población y generalmente. Por otro lado, las metástasis vertebrales pueden afectar a más de la mitad de pacientes oncológicos en fases avanzadas de la enfermedad y representan con frecuencia un reto en el tratamiento. Menos frecuentes y muy variados son los tumores óseos primarios invasivos como cordomas, sarcomas, osteoblastomas, quistes óseos aneurismáticos o tumores de células gigantes.
- En cuanto a los tumores que afectan a las cubiertas o elementos de sostén de las estructuras neurológicas, los más frecuentes son los meninigomas, derivados de las capas meningeas que recubren la médula espinal, asi como las schwannomas o neurinomas originados en las células de sostén de raices nerviosas. En ambos casos puede tener lugar la compresión de la médula espinal que provoque la pérdida de función de la misma con el desarrollo de una pérdida de sensibilidad y/o movilidad, asi como posible alteración del control de los esfínteres. Para su tratamiento contamos con la posibilidad de monitorización neurofisiológica intraoperatoria y Microcirugía.

- Por ultimo, lo tumores propiamente intramedulares se albergan en el interior de la médula espinal provocando además de dolor, la disfunción de la misma con la aparicion de alteraciones en la sensibilidad, esfinteres y fuerza en extremidades. Están representados fundamentalente por los astrocitomas y los ependimomas, lesiones aunque muy infrecuentes, altamente complejas precisando de tratamientos individualizados, de alta precisión y con empleo de herramientas como Microcirugía, Monitorización neurofisiológica intraoperatoria y enfoque interdisciplinar.

A continuación detallamos las patologías más frecuentes en nuestra Unidad de Columna
-Hernia discal lumbar: Representa la causa más frecuente de lumbociática en personas entre 20 y 60 años. Se produce debido a la degeneración del disco intervertebral lo que da lugar a una rotura de su anillo fibroso y al desplazamiento posterolateral del material discal que provoca una compresión de las raíces nerviosas que interesan a la extremidad inferior. Nos referimos a protrusión cuando existe un desplazamiento global del disco sin que llegue a tener lugar la herniación del mismo ni la repercusión sobre estructuras nerviosas. Tanto hernias como protrusiones aparecen con mayor frecuencia en los segmentos L4-L5 y L5-S1. La sintomatología típica cuenta con una fase incial en la que tiene lugar un dolor en la región lumbar que después pasa a irradiarse a una de las extremidades inferiores a través de la región glútea, cara posterior del muslo y cara lateral de la pierna. La sintomatología suele mejorar a lo largo de 6-8 semanas con tratamiento analgésico-antiinflamatorio, calor local y reducción de la actividad (evitando el reposo absoluto). Aquellos casos en los que no existe mejoría debe valorarse la posibilidad de intervención quirúrgica, que en casos adecuadamente seleccionados va a proporcionar una alta tasa de éxito. En raras ocasiones además de la sintomatología descrita puede tener lugar la aparición de vejiga neurógena, paresia severa en la extremidad inferior o dolor incoercible en cuyo caso ha de valorarse la intervención urgente.
-Estenosis de canal (raquiestenosis) lumbar: En estos casos es el estrechamiento global del canal raquídeo lo que condiciona la compresión de las raíces nerviosas que se dirigen a las extremidades inferiores. Aparece sobre todo a nivel L4-L5 seguido de L5-S1 y L3-L4. Tiene lugar fundamentalmente en personas mayores de 60 años y se debe a la progresiva degeneración de las articulaciones y ligamentos que unen las vértebras. Este proceso de desgaste genera un aumento o hipertrofia que deforma dichas estrucuras de manera que invaden el espacio destinado a las raíces nerviosas provocando la compresión e irritación de las mismas. Esto se traduce en la aparición de un dolor lumbar irradiado a ambas regiones glúteas y en ocasiones a ambas extremidades inferiores. El dolor se desencadena estando de pie y mejora característicamente al estar sentado pues esta posición ensancha parcialmente el canal raquídeo. Ello da lugar a la denominada «caludicación neurógena de la marcha», por la cual recorrida una distancia, la persona que sufre de raquiestenosis lumbar tiene que detenerse y sentarse. La distancia a la que aparece la claudicación neurógena va disminuyendo de forma progresiva de manera que los pacientes que sufren este cuadro ven deteriorada su calidad de vida con el tiempo. En estos casos debe valorarse el tratamiento quirúrgico, el cual ofrece un índice de mejoría superior al 90%.

-Estenosis de receso lateral y estenosis foraminal: Se trata de una variante de raquiestenosis lumbar el la que existe una hipertrofia ósea focal que afecta a la zona lateral del canal, de manera que provoca una compresión que en lugar de afectar a todo el conducto raquídeo, afecta a la raíz nerviosa bien en el tramo situado a su salida del saco dural previo a abandonar el conducto raquídeo (estenosis de receso) o bien en el tramo inmediatamente distal (estenosis foraminal). Puede ser uni o bilateral. Sus manifestaciones clínicas son similares a las de la hernia discal. En caso de persistencia de la sintomatología debe valorarse el tratamiento quirúrgico

-Espondilolistesis lumbar: Por listesis entendemos el desplazamiento de una vértebra sobre otra en el plano sagital. Sus orígenes más frecuentes son el degenerativo ( propio de adultos de mediana y avanzada edad en los que la listesis suele acopañarse de un grado variable de raquiestenosis) o el espondilolítico (en adultos jóvenes y de mediana edad en los que tiene lugar la lisis o rotura de la pars interarticularis, una porción de la vértebra que interesa a la articulación intervertebral facetaria). Las listesis se clasifican en la escala de Meyerding en cinco escenarios según el grado de desplazamiento. La sintomatología de la listesis es el dolor lumbar mecánico que en ocasiones puede acompañarse de sintomatología radicular (radiculopatía) sobre todo en los casos en los que existe también estenosis de canal raquídeo. En caso de sintomatología persistente y asencia de mejoría con medidas conservadoras, debe valorarse la intervención quirúrgica.

-Discopatía lumbar degenerativa: Se caracteriza por la deshidratación y pérdida de altura del disco intervertebral. Puede acompañarse de cambios reactivos en los cuerpos vertebrales adyacentes (cambios tipo Modic). Constituye una causa frecuente de lumbalgia mecánica no irradiada que suele mejorar con la implementación de analgesia, calor local y ejercicio terapéutico.

-Hernia discal dorsal: Mucho menos frecuentes que las hernias discales lumbares y cervicales. Asocian generalmente dorsalgia no irridiada. La mayoría mejora con tratamiento conservador. Sin embargo, en caso de que generen compresión a nivel de la médula espinal pueden dar lugar a un cuadro de mielopatía con ataxia de la marcha y paraparesia espástica precisando intervención quirúrgica.

-Hernia discal cervical/Espondilosis cervical: Frecuentes, aunque menos que las hernias discales lumbares. Al igual que éstas se originan debido al desplazamiento de material discal al canal raquídeo con la consiguiente compresión de estructuras neurológicas. Suelen localizarse en el segmento comprendido entre las vértebras C3 y C7. Típicamente pueden dar lugar a dos cuadros clínicos: por un lado, la cervicobraquialgia, propia de hernias discales cervicales laterales causantes de compresión radicular. Este cuadro tiene aparición sobre todo en menores de 50 años y produce un dolor cervical irradiado al hombro y a uno de los brazos («braquialgia») en forma de «calambre eléctrico». Generalmente no asocian lesión medular y suelen mejorar en 6-8 semanas con analgesia, calor e higiene postural. En caso de persistencia del cuadro o episodios frecuentes debe valorarse la intervención quirúrgica. El otro cuadro característico es la aparición de mielopatía cervical debido a la ocupación central del canal raquídeo por material discal y osteofitos (prominencias óseas en los bordes de la vértebras debidas a los fenómenos degenerativos). Esto da lugar a un estrechamiento o estenosis del canal cervical que de forma mantenida comprime e induce un daño en la médula espinal (mielopatía), lo que se traduce en la aparición de torpeza para los movimientos finos en las manos y dificultad para la marcha. Puede dar lugar a la pérdida progresiva de fuerza y sensibilidad en las cuatro extremidades. Todo ello hace que deba valorarse el tratamiento quirúrgico.
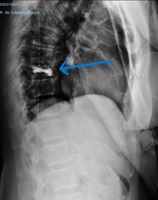
–Fracturas vertebrales: Frecuentes sobre todo en la columna dorso-lumbar, pueden aparecer como consecuencia de mecanismos muy diversos; desde grandes traumatismos, en cuyo caso su tratamiento puede estar condicionado por la presencia de otras lesiones, o bien tras traumatismos banales o incluso de forma espontánea, sin traumatismo alguno. Estos últimos casos definen las «fracturas patológicas» en las que es preciso buscar una causa subyacente estructural o sistémica que haya provocado el debilitamiento óseo. Esta situación es especialmente frecuente en mujeres tras la menopausia debido al desarrollo de osteoporosis. Estos casos precisan iniciar un tratamiento para compensar la desmineralizacón ósea. El tratamiento de las fracturas depende fundamentalmente del grado de deformidad asociado, la afectación de ligamentos (ambos aspectos definen la presencia o no de inestabilidad) y el que exista o no una lesión neurológica. En caso de fracturas estables sin déficit neurológico se emplea una ortesis mientras que en presencia de inestabilidad o afectación neurológica debe valorarse la cirugía.

En el centro y a la derecha se aprecia el TAC postoperatorio en el se ha llevado a cabo la reducción de la luxación con un adecuado alineamiento y fijación combinada anterior mediante caja intersomática y placa así como posterior con tornillos a masas laterales.

-Inestabilidad craneocervical: Viene definida por la presencia de una movilidad excesiva en la charnela craneocervical, esto es, la articulación entre el hueso occipital (C0) y el complejo atlo-axoideo (C1-C2 y sus correspondientes ligamentos). Esto puede originar una deformidad, que a veces precisa de estudios dinámicos para ser puesta de manifiesto, con o sin dolor y/o déficit neurológico. Entre sus causas se encuentran afectaciones congénitas (como el «os odontoidum«, la enfermedad de Morquio, el síndrome de Down, Arnold Chiari, etc), afectaciones infilamatorias (artritis reumatoide o espondilitis anquilosante), traumáticas (fracturas), infecciosas (Síndrome de Grisel, típico en edad pediátrica) o tumorales (metástasis o tumores óseos primarios). Su tratamiento es generalmente quirúrgico a veces precedido de la reducción mecánica para corregir la deformidad.

-Tumores espinales: Dan lugar a una gran variedad de situaciones debido a que pueden afectar a diferentes compartimentos: óseo (tumores primarios ó metástasis con o sin extensión al canal raquídeo; siendo los hemangiomas los más frecuentes), intradural-extramedular (los más frecuentes meningiomas y algunos neurinomas) e intradural-intramedular (astrocitomas y ependimomas). Suelen manifestarse con dolor, alteración de la sensibilidad y/o fuerza en las extremidades acompañada o no de alteración esfinteriana. Van a precisar cirugía en caso de que generen inestabilidad vertebral, déficit neurológico o muestren un comportamiento agresivo.
¿Qué tipo de intervenciones llevamos a cabo con más frecuencia?
- Microdiscectomía: Es la técnica estándar para el tratamiento de la hernia discal lumbar. Gracias al empleo de la Microcirugía es posible llevar a cabo esta intervención con incisiones menores de 3 centímetros y excelentes resultados. La combinación de la técnica mínimamente invasiva extemando el respeto por la muscuatura paraespinal, así como la precisión y seguridad que el microscopio quirúrgico confiere para lograr la descompresión de la raíz nerviosa hacen que esta técnica sea el gold standar para el tratamiento de la hernia discal lumbar.

- Ampliación de receso lateral y foraminotomía: En ella al igual que en la microdiscectomia se lleva a cabo el abordaje unilateral a los elementos posteriores vertebrales del segmento implicado mediante la exposición mínimamente invasiva con el respeto máximo de la musculatura paraespinal. Una vez llevado a cabo esto el acceso al espacio epidural mediante la flavectomía o apertura del ligamento amarillo que une las láminas vertebrales permite llevar a cabo una ampliacion del espacio de salida de la raíz nerviosa descomprimiéndola y logrando así la resolución de los síntomas. El abordaje, por tanto, va a ser similar al de la hernia discal con incisiones mínimas.

- Laminectomía: En este caso la exposicion de los elementos vertebrales posteriores se lleva a cabo de forma bilateral para lograr la extirpación de elementos óseos y ligamentosos hiertróficos que están invadiendo el canal espinal reduciendo significativamente su diámetro y comprometiendo a las estructuras neurológicas contenidas en el mismo: médula espinal y/raíces nerviosas, según el segmento afectado. Puede llevarse a cabo en los segmentos lumbar, dorsal o cervical generalmente con incisiones ligeramente mayores a las empleadas en la microdiscectomía. Este procedimiento, además de para la liberación de los elementos neurológicos debida a la compresión artrósica de los mismos, es también el empleado comúnmente para acceder al canal espinal en caso de que sea necesaria la extirpa ión de tumores, evacuación de hemorragias o infecciones albergadas en dicho nivel.

- Estabilizacion vertebral percutánea: Es el procedimiento empleado para tratar los casos que precisan fijar dos o más vértebras debido a la presencia de inestabilidad o fracturas. Gracias al empleo de imagen intraoperatoria y a los sistemas de fijación de alta precisión es posible llevar a cabo esta técnica de forma mínimanente invasiva mediante pequeñas incisiones de apenas 2 cm a través de las cuales se introducen tornillos al pedículo de la vértebra así como barras laterales. El respeto por la musculatura paraespinal, clave para el resultado final, es por tanto máximo gracias a esta técnica. La ejecución de la misma gracias al aprovechamiento de aspectos como la colocación bicortical de los implantes y las técnicas de reduccion percutánea de la deformidad permiten un restablecimiento de la anatomía en una amplia proporción de casos con un riesgo mínimo.

- Vertebropastia/Cifoplastia: Se trata de técnicas para tratar aplastamientos vertebrales mediante la introducción de cemento óseo (PMMA – polimetilmetcrilato-) en los cuerpos vertebrales, de forma percutánea a través del pedículo. En la cifoplastia además se va a llevar a cabo previo a esto el inflado de un balón para reestablecer la altura del cuerpo vertebral. Con estas técnicas además de reforzar la vértebra, se va a disminur el dolor debido a la inflamación presente en las fracturas agudas. Se trata de procedimientos mínimamente invasivos en los que es posible el alta hospitalaria en pocas horas.

- Discectomía cervical anterior: Es la técnica gold standar para el tratamiento de la hernia discal cervical. En ella se lleva a cabo el acceso por delante a la región cervical respetando la musculatura prevertebral y exponiendo el espacio discal paara llevar a cabo la retirada completa del disco enfermo y la introducción en su lugar de dispositivos intersomáticosque mantengan la separación adecuada entre las vértebras. Es empleado tanto en casos de hernia discal cervical con radiculopatía así como en casos más avanzados en los que existe una compresión de la médula espinal o mielopatía.

- Endoscopia de columna: Mediante esta técnica puede llevarse a cabo un abordaje minimo a la columna para el tratamiento de hernias discales lumbares y estenosis de canal fundamentalmente. Existe la opción de realizar la endoscopia de columna mediante una entrada única (endoscopia uniportal) o bien mediante dos entradas -incisiones- adyacentes (endoscopia biportal). Ha comenzado a extenderse su empleo para tratar la columna cervical, dorsal así como para llevar a cabo procedimientos de fusión vertebral intersomática (endoTLIF).









