Los síntomas más frecuentes de los tumores cerebrales son por el siguiente orden: el déficit neurológico progresivo, generalmente la aparición de debilidad en extremidades, la cefalea intensa y las crisis epilépticas. Otros signos asociados a los tumores cerebrales son la alteración del lenguaje, la aparición de una demencia rápidamente progresiva, la afectación visual y la alteración de la marcha.
Aparte de los síntomas citados, los tumores cerebrales en niños pueden manifestarse con vómitos, irritabilidad, visión doble, afectación del equilibrio y dificultad para tragar.
Entre las causas de los tumores cerebrales, lo cierto es que la mayor parte de ellos surgen de un modo espontáneo, esto es, no están provocados por un factor genético único. Existen, no obstante, un porcentaje pequeño de casos en los que una alteración genética da lugar a la aparición de síndromes que llevan asociados una alta frecuencia de tumores cerebrales. Se trata de los denominados síndromes neurocutáneos o facomatosis. Estas alteraciones asocian diferentes marcas o estigmas a nivel de la piel como angiomas, lesiones protruyentes, manchas café con leche o hipopigmentadas. Están representados fundamentalmente por la Neurofibromatosis I o enfermedad de von Recklinghausen, Neurofibromatosis II, la Esclerosis tuberosa o enfermedad de Bourneville, la enfermedad de von Hippel Lindau y el síndrome de Sturge Weber. Constituyen en su conjunto causas de tumores cerebrales sobre todo en niños y en personas jóvenes. Otros trastornos genéticos relacionados con el desarrollo de tumores en otras localizaciones como en síndrome de Cowden, Turcot o Li-Fraumeni se asocian también con la aparición de tumores cerebrales. Entre las causas ambientales que provocan tumores cerebrales, las radiaciones ionizantes constituyen la más conocida. De esta manera, aquellas personas que han recibido tratamiento con radioterapia a nivel craneal presentan mayor riesgo de desarrollar tumores cerebrales. Por otro lado, no ha sido demostrada la asociación entre el uso del teléfono móvil y la aparición de tumores cerebrales.
A continuación, se enumeran los tipos más frecuentes de tumores cerebrales en adultos:
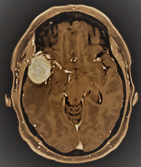
–Meningiomas: Se trata del tumor cerebral benigno más frecuente. Su origen se sitúa en una de las capas meningeas que rodean el cerebro, en concreto la aracnoides. En un 90% de los casos los meningiomas corresponden al grado I de la clasificación de la Organización Mundial de la Salud (en adelante OMS) lo que les confiere un comportamiento biológico benigno. Muy raros en niños, son más frecuentes en mujeres aumentando su incidencia conforme avanza la edad. En caso de presentar síntomas, crecimiento progresivo o efecto compresivo sobre las estructuras intracraneales es preciso su tratamiento, generalmente quirúrgico. Los casos menores de 3 cm y con una localización profunda pueden beneficarse de la Radiocirugía. Aquellos casos con un diagnóstico incidental (los encontrados de forma inesperada debido a una prueba de imagen motivada por otra causa) sólo precisarán tratamiento en menos de un tercio de los casos, permaneciendo el resto estables y asintomáticos.

–Gliomas: Son tumores originados de células gliales, esto es, las células que sirven de apoyo estructural y fucional a las neuronas. Ello provoca que sean tumores con mayor capacidad infiltrativa, lo que en general favorece las recurrencias.
A continuación se describen los tipos de gliomas:
-Astrocitomas: Se subdividen a su vez en pilocíticos (grado I de la OMS) que aparecen en niños, difusos (grado II de la OMS), anaplásicos (grado III de la OMS) y glioblastomas (grado IV). Existe asociación entre la edad y el grado de la OMS, de manera que a mayor edad estos tumores suelen presentar un comportamiento más agresivo (mayor grado de la OMS) y con ello mayor tendencia a la recidiva. La última clasificación de los tumores la OMS otorga gran importancia al estado del gen de la Isocitrato Deshidrogenasa (IDH-1 y 2) en estos tumores. En los grado IV el estado del enzima MGMT va a determinar también su grado de agresividad y de respuesta a tratamiento. La base del tratamiento de estos tumores es quirúrgico, estando indicado el tratamiento adyuvante con Quimio y Radioterapia en la mayoría de los casos a partir del grado II de la OMS.

–Oligodendrogliomas: Son tumores derivados de los oligodendrocitos, las células encargadas de formar la mielina en el sistema nervioso central. Pueden pertenecer al grado II o III de la OMS (en el caso de los anaplásicos). Desde el punto de vista genético se definen por la codelección en los cromosomas1p/19q. Su comportamiento clínico y radiológico es muy parecido al de los astrocitomas del correspondiente grado de la OMS, si bien los oligodendrogliomas van a tener un mejor pronóstico. Los aspectos del tratamiento son idénticos a los de los astrocitomas.

–Ependimomas: En general menos frecuentes que los anteriores, si bien representan uno de los tipos tumorales más frecuentes en niños. Derivan de la célula del epéndimo, aquella que recubre el sistema ventricular. Característicamente se localizan en la fosa posterior, en concreto en el suelo del IV ventrículo, si bien pueden aparecer también en localización supratentorial (en estos últimos la caracterización molecular tiene especial importancia pronóstica de cara a establecer el estado de la fusión RELA). Su contacto con el neuroeje obliga a descartar que presenten extensión a la médula espinal. Su tratamiento es quirúrgico seguido de radioterapia.

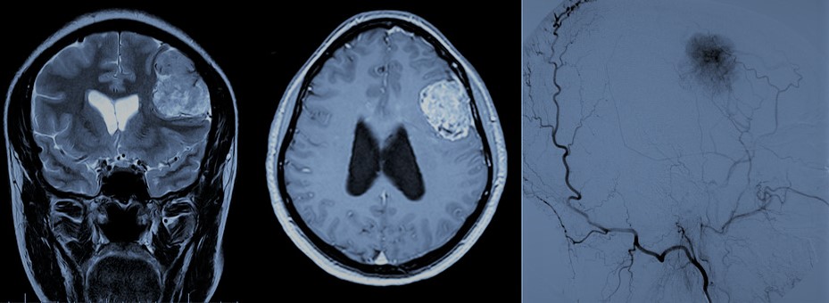
-Schwannomas (Neurinomas): Se trata de tumores originados a partir de las células de Schwann, encargadas de formar la mielina de los nervios ( la capa grasa aislante que los recubre y permite que puedan llevar a cabo la conducción eléctrica de los estímulos nerviosos). A nivel intracraneal la localización más frecuente de los schwannomas tiene lugar en el ángulo pontocerebeloso, donde representan el tumor más frecuente. En esta localización se originan a partir del octavo par craneal (VIII pc), esto es, el nervio vestibulococlear (o estatoacústico) encargado de la audición y el equilibrio. Es, por ello, muy frecuente que la pérdida de audición unilateral sea el síntoma inicial que conduzca al diagnóstico. El tratamiento de elección es la cirugía, si bien aquellos menores de 3 cm puden estabilizarse gracias al tratamiento con Radiocirugía.

-Adenomas hipofisarios: Tienen lugar en la hipófisis, glándula de secreción interna albergada en la silla turca del hueso esfenoides, a nivel de la base del cráneo. Esta glándula se encuentra integrada con el hipotálamo y conjuntamente con éste regula la función de los diferentes órganos endocrinos. Los adenomas de hipófisis se subdividen según su tamaño en microadenomas, menores de un centímetro, y macroadenomas, a partir de un centímetro y según su actividad hormonal en «funcionantes», aquellos que generan una producción aumentada de hormonas lo que a va a su vez va a generar un síndrome endocrinológico, y «no funcionantes», aquellos que no generan producción hormonal adicional. Se trata, en general, de tumores frecuentes, sobre todo en el caso de los microadenomas. En todos los casos se debe consultar con un Endocrinólogo de cara a descartar una disfunción hormonal. En el caso de los macroadenomas, se precisa además valoración por un Oftalmólogo pues su localización próxima a los nervios ópticos puede dar lugar a la pérdida de agudeza visual (que lamentablemente a veces constituye el síntoma inicial). Las posibilidades de tratamiento van a estar condicionadas por varios aspectos, fundamentalmente el tamaño del tumor, la afectación o no de la visión y la producción o no de un síndrome debido a la hipersecreción hormonal. El tratamiento médico está especialmente indicado en tumores secretores de Prolactina (Prolactinomas). La cirugía, por su parte está indicada cuando hay afectación visual importante, ausencia de respuesta al tratamiento médico o si tiene lugar un síndrome endocrinológico debido a la hiperproducción de GH (hormona del crecimiento) dando lugar a «Acromegalia o gigantismo» o si tiene lugar la hiperpoducción de cortisol endógeno y con ello la enfermedad de Cushing.

–Hemangioblastomas: Se originan en la fosa posterior siendo el tumor primario más frecuente en adultos en dicha localización. Se trata de un tumor benigno (grado I de la OMS). Suelen darse en adultos jóvenes y el 20% de los casos ocurren como parte de la enfermedad de von Hippel Lindau en cuyo caso pueden presentar también afectación retiniana. Su carácter vascular hace que reciban gran cantidad de flujo sanguíneo. Pueden acompañarse de policitemia. Su tratamiento es quirúrgico.
–Quistes epidermoides: Tienen lugar frecuentemente en la fosa posterior a nivel del ángulo pontocerebeloso, siendo los terceros tumores en frecuencia en dicha localización tras el schwannoma del VIII par craneal y el meningioma. Los epidermoides se componen de tejido escamoso con aspecto perlado perteneciente a células ectodérmicas que quedan atrapadas durante el desarrollo embrionario. La liberación espontánea de su contenido al espacio subaracnoideo puede provocar una meningitis química (meningitis de Mollaret). Presentan un comportamiento benigno, si bien su tendencia al crecimiento lineal hace que precisen tratamiento quirúrgico. Su relación frecuente con arterias vitales, nervios craneales y estructuras troncoencefálicas dificulta la extirpación capsular completa por lo que es frecuente que recidiven y precisen de nueva extirpación quirúrgica transcurridos años de la inicial. No existe lugar para la radioterapia ni la quimioterapia en estos tumores.

-Linfoma cerebral primario: Existe una creciente incidencia en la aparición del linfoma cerebral primario. Tiene lugar en pacientes adultos, a veces asociado a inmunodepresión congénita o adquirida. Este tumor es conocido como «tumor fantasma» debido a que tiende a desaparecer de las pruebas de imagen si tiene lugar la administración de corticoides. El papel de la cirugía está limitado a la biopsia para confirmación del diagnóstico. El tratamiento del linfoma cerebral primario es la radioterapia y la quimioterapia.

-Metástasis cerebrales: El aumento de los tratamientos para los tumores ha generado un incremento en la tasa de curación y supervencia de los mismos. La aparición de metástasis cerebrales tene lugar sobre todo en pacientes con cáncer de mama y pulmón. Es fundamental llevar a cabo un tratamiento adecuado en cada caso. Gran parte de estos pacientes puede beneficiarse de la cirugía sobre todo aquellos pacientes con metástasis cerebral única en ausencia de afectación tumoral de otros órganos. Tras la intervención se debe administrar tratamiento con radioterapia.
Tumores cerebrales en la edad pediátrica
Los tumores cerebrales representan, después de las neoplasias hematológicas, la segunda causa de cáncer en la edad pediátrica.
Los tumores cerebrales más frecuentes en niños, aparte de los ya citados astrocitomas pilocíticos (grado I de la OMS ) y ependimomas (grado II y III) son los siguientes:
–Meduloblastoma: Tumor originado a partir de células primitivas neuroectodérmicas. Pesenta un alto componente proliferativo (grado IV de la OMS). Tiene lugar en la fosa posterior, característicamente en el techo del cuarto ventrículo, si bien no es rara la localización en hemisferio cerebeloso en adultos jóvenes. Puede dar lugar a la siembra a través del neuroeje, incluso a metástasis fuera del sistema nervioso central. Es frecuente la presencia de hidrocefalia obstructiva en el momento del diagnóstico. Ésta puede precisar una intervención quirúrgica previa a la extirpación del tumor. El tratamiento del meduloblastoma se basa en la extirpación quirúrgica seguida de radio y quimioterapia. Presenta una tasa de curación elevada en los casos en los que no hay diseminación y la cirugía logra eliminar por completo o reducir al mínimo la carga tumoral.

-Craneofaringioma: Típico en niños, aunque puede presentarse también en adultos. Se trata de tumores de origen epitelial derivados de remanentes embrionarios de la bolsa de Rathke, estructura precursora de la adenohipófisis. Ello hace que su localización anatómica tenga lugar en relación al eje hipotálamo-hipofisario. Su extensión a estructuras hipotalámicas da lugar a la aparición frecuente de un síndrome hipotalámico caracterizado por el aumento del apetito con el consiguiente aumento de peso, la diabetes insípida (incapacidad para retener el agua con poliuria y polidipsia), alteración en los ciclos de sueño-vigilia, alteración de la temperatura corporal y de la frecuencia cardíaca. De este modo, pese a exhibir rasgos de tumor benigno su localización profunda, la disfunción endocrinológica que conlleva y su capacidad invasiva con tendencia a la recidiva hacen que su tratamiento sea complejo, teniendo en ocasiones que valorar, además de la cirugía, la radioterapia adyuvante.
-Tumores pineales: Tienen lugar en la glándula pineal o epífisis situada en la parte posterior del diencéfalo y relacionada con la producción de melatonina y con los ciclos de sueño-vigilia. Al igual que sucede con los craneofaringiomas, los tumores pineales aunque típicos en niños, tienen lugar también en adultos. Existen una gran variedad de estirpes de tumores pineales que pueden exhibir grados de agresividad muy variados. En niños los más frecuentes son de tipo germinal (germinomas, sobre todo, y menos frecuentes coriocarcionas, carcinomas embrionarios, tumor de seno endodérmico y teratomas maduros/inmaduros), mientras que en adultos suelen tratarse de gliomas o meningiomas. Estos tumores suelen manifestarse con el llamado Síndrome de Parinaud, una incapacidad para dirigir la mirada hacia arriba en ocasiones acompañada de hidrocefalia obstructiva aguda e hipertensión intracraneal. En estos casos además de llevar a cabo cirugía sobre el tumor puede ser preciso una intervención previa para el tratamiento de la hidrocefalia. La necesidad de tratamiento con quimio o radioterapia está determinado, al igual que el pronóstico, por la estirpe del tumor.

-Tumores del plexo coroideo: Derivados del plexo coroideo, implicado en la producción de líquido cefalorraquídeo a nivel del sistema ventricular, son los tumores cerebrales congénitos más frecuentes. La mayoría de ellos tiene lugar en niños antes de los dos años edad. En su mayoría son benignos (Papiloma de plexo coroideos, grado I de la OMS), si bien existen formas capaces de exhibir mayor agresividad. Su tratamiento es quirúrgico.
-Tumores embrionarios (PNET): Al igual que los meduloblastomas se originan a partir de células primitivas neuroectodérmicas. Su localización sin embargo es supratentorial. Se caracterizan por tener un comportamiento altamente agresivo con posibilidad de diseminación a través del líquido cefalorraquídeo y gran tendencia a la recidiva.
Herramientas para la cirugía de los tumores cerebrales
La exirpación de los tumores cerebrales se lleva a cabo mediante el empleo de microcirugía. En este sentido se ha asistido a un avance importante tanto en el diseño del instrumental como en el desarrollo de los microscopios quirúrgicos. En la actualidad estos últimos además de proporcionar un altísimo grado de precisión, cuentan con módulos de fluorescencia para aplicación en cirugía oncológica (ver más adelante) y cirugía vascular.
A continuación se resumen los principales avances tecnológicos para la cirugía de los tumores cerebrales:
–Neuronavegación: Se trata de un sistema capaz de integrar las imágenes radiológicas y llevar a cabo una extrapolación de las mismas al campo quirúrgico. Ello es posible gracias al reconocimiento facial del paciente, lo que genera unas referencias tridimensionales que se correlacionan con la pruebas de imagen previas. Esto hace que a menudo la navegación cerebral sea comparada con una especie de «GPS del cerebro». Existen sistemas de Neuronavegación magnéticos y optoelectrónicos. Ambos proporcionan una mayor seguridad en la cirugía de los tumores cerebrales.

–Cirugía con paciente despierto: Los tumores próximos a las regiones cerebrales implicadas en el procesamiento y generación del lenguaje se benefician en la actualidad de cirugía con paciente despierto. Ello permite mediante la técnica de Penfield, llevar a cabo el mapeo cerebral de las áreas relacionadas con el tumor previo a su extirpación, lo que permite la localización exacta de las mismas de cara a poder preservarlas y con ello reducir el riesgo de aparición de un trastorno en el lenguaje completo (afasia) o parcial (disfasia). Se necesita para ello la colaboración del paciente que ha de permanecer despierto durante parte de la intervención, respondiendo así a diferentes ejercicios para de esta manera identificar correctamente las áreas cerebrales correspondientes a la vez que monitorizar in vivo la función lingüística. Esto permite llevar a cabo extirpaciones quirúrgicas amplias en tumores cerebrales infiltrativos (gliomas).
-Cirugía guiada con monitorización neurofisiológica intraoperatoria: En ocasiones los tumores cerebrales están albergados en proximidad a áreas cerebrales encargadas del movimiento. En estos casos existe el riesgo de sufrir una pérdida de fuerza parcial (hemiparesia) o total (hemiplejia) de la mitad del cuerpo contraria al lado donde está el tumor. La monitorización neurofisiológica intraoperatoria es una herramienta esencial de cara a aumentar la seguiridad de estas intervenciones y reducir el riesgo de que se produzca un deterioro en la movilidad del paciente. Para ello es necesario contar en el quirófano con la presencia de un médico especialista en Neurofisiología y un equipo de monitorización que permita, aun con el paciente anestesiado, mapear las regiones cerebrales relacionadas con la movilidad, informar sobre su correcto funcionamiento o alertarnos en caso de que se encuentren en peligro durante la intervención. De esta manera, la monitorización nos ayudará a evitar una lesión neurológica que se traduzca en el empeoramiento en la movilidad del paciente.
–Fluorescencia cerebral oncológica: Como ha sido referido con anterioridad, los microscopios quirúrgicos de nueva generación tienen integrados sistemas de luz fluorescente que permiten en el caso de los tumores infiltrativos ver más allá de los límites donde el tumor puede ser reconocido. El modo de fluorescencia más empleado se basa en el empleo de 5-ALA (Acido 5-aminolevulínico), un compuesto que es metabolizado por las células tumorales de modo que emite fluorescencia visible mediante un tipo de luz integrada en el microscopio. Esto nos va a permitir llevar a cabo extirpaciones más amplias de los tumores.
Tratamiento de la hidrocefalia en Almería
La producción de líquido cefalorraquídeo (en adelante LCR) se sitúa en torno a los 500 ml por día en el adulto. La hidrocefalia tiene lugar cuando existe una acumulación anormal de LCR a nivel intracraneal que provoca una disfunción neurológica.
La hidrocefalia es una patología compleja con muy diversas formas de presentación debido a factores como la causa desencadenante, la edad del paciente y el tratamiento previo de la hidrocefalia en caso de que ésta no sea de nueva aparición.
Actualmente hay una tendencia a considerar todas las hidrocefalias como «obstructivas», pues de una manera u otra la acumulación de LCR, causa fundamental de la hidrocefalia, va a deberse en última instancia a la incapacidad para la adecuada circulación del mismo (salvo raras excepciones como los papilomas de plexo coroideo en los que tiene lugar un aumento en la producción de LCR).
Sin embargo, la clasificación «clásica» de la hidrocefalia considera como hidrocefalia propiamente obstructiva o no comunicante aquella en la que tiene lugar la «macroobstrucción» (esto es, dentro de las cavidades ventriculares) de la circulación del líquido cefalorraquídeo, generalmente por lesiones que deforman el acueducto de Silvio o el IV ventrículo. Por otro lado se diferenciaría una hidrocefalia comunicante, considerando como tal aquella en la que no existe un impedimento en la circulación de LCR dentro de las cavidades ventrículares pero sí que existe una obstrucción microscópica a nivel de las vellosidades aracnoideas que imposibilita la adecuada reabsorción del LCR.
Esta clasificación fisiopatológica «clásica» va a tener gran importancia de cara a identificar aquellos pacientes que pueden ser tratados mediante endoscopia cerebral, con una ventriculostomía endoscópica, pudiendo evitar la implantación de una válvula de derivación ventriculoperitoneal.
Dentro de los tipos de hidrocefalia que con mayor frecuencia tratamos se encuentra la «hidrocefalia crónica del adulto». De aparición en adultos en torno a 60-70 años se trata de un tipo de hidrocefalia comunicante caracterizada por la tríada de Hakim-Adams en la que aparece la apraxia de la marcha, la incontinencia urinaria y la demencia. Representa una de las pocas causas de demencia tratables en la actualidad mediante la implantación de una derivación ventriculoperitoneal.

Las hidrocefalias congénitas están asociadas frecuentemente a la prematuridad. Tienen lugar a consecuencia de hemorragias cerebrales a nivel de la matriz germinal, propias de niños pretérmino. Su aparición se traduce en un aumento del perímetro cefálico del niño lo que hace que en ausencia de resolución espontánea precisen de tratamiento quirúrgico. Otras causas de hidrocefalia congénita están ligadas a infecciones o bien a muy diversas afectaciones sindrómicas.
Como ha sido previamente explicado los tumores cerebrales pueden acompañarse de hidrocefalia, sobre todo en niños. Es importante analizar cada caso de cara a implementar el tratamiento adecuado bien mediante endoscopia cerebral o bien mediante derivación de LCR
Otras causas de hidrocefalia son las hemorragias cerebrales, típicamente las hemorragias subaracnoideas, y los traumatismos craneoencefálicos graves.
Traumatismos craneoencefálicos

Los traumatismos craneoencefálicos pueden dar lugar a muy diversas lesiones que con mucha frecuencia pueden estar asociadas. A continuación, describimos las más frecuentes diferenciando, en primera lugar, las lesiones que afectan al cráneo y a continuación aquellas que tienen lugar sobre el encéfalo:
- Fracturas craneales, que a su vez se subdividen en:
- Fracturas lineales de la bóveda craneal: Afectan a la superficie del cráneo. Son las más frecuentes y a su vez las más leves de manera que rara vez precisan tratamiento quirúrgico. Pueden, no obstante, asociarse o dar lugar a hematomas intracraneales extraaxiales (típicamente epidurales) que pueden ser subsidiarios de evacuación quirúrgica. Rara vez, en niños semanas después de la fractura puede tener lugar la herniación de parte del parénquima cerebral a través de los bordes de la misma dando lugar a las denominadas fracturas evolutivas o quistes leptomeníngeos postraumáticos. En estos casos es necesaria la reparación quirúrgica.
- Fracturas hundimiento de la bóveda craneal: Definidas por el desplazamiento de parte de la bóveda craneal hacia la cavidad craneal con posibilidad de impactación de fragmentos óseos en el cerebro. Va a haber, por tanto, en mayor o menor medida una lesión cerebral traumática asociada. En estos casos ha de plantearse la reparación de la fractura, la retirada de fragmentos óseos de la cavidad craneal y el control de daños cerebrales.
- Fracturas de la base del cráneo: Afectan comúnmente al peñasco temporal, región clival o fosa craneal anterior. En las fracturas del peñasco es frecuente la aparición de otorragia (salida de sangre a través del oído), así como la parálisis facial y la pérdida de audición. Todas ellas pueden asociar fístula de líquido cefalorraquídeo. Suelen deberse a traumatismos craneoencefálicos graves de manera que en ellas pueden producirse lesiones graves a nivel del parénquima cerebral o tronco del encéfalo así como afectación de los principales vasos sanguíneos cerebrales.
- Lesiones traumáticas cerebrales:
- Hematomas epidurales: Tienen lugar en el espacio situado entre el cráneo y la duramadre. Características de niños y jóvenes. Casi siempre están asociadas a una fractura craneal. En ocasiones pueden tardar minutos en manifestarse de manera que clásicamente se describe un «intervalo lúcido» en el que la persona que lo sufre se recupera tras perder inicialmente el conocimiento y transcurridos unos minutos comienza a sentirse mal como consecuencia del crecimiento del hematoma. En estos casos, es precisa la evacuación quirúrgica urgente del hematoma.
- Hematoma subdural agudo: Tiene lugar por debajo de la duramadre, la capa meníngea más superficial. Se encuentra por tanto en íntimo contacto con el cerebro. A diferencia de los anteriores, suelen presentarse en adultos generalmente mayores, lo que unido a su proximidad con el cerebro les confiere un peor pronóstico. En caso de alcanzar un volumen crítico o dar lugar a una alteración neurológica debe plantearse la evacuación quirúrgica.

- Hematoma subdural crónico: Suele aparecer también en adultos mayores como consecuencia de un traumatismo craneal que pasó desapercibido pocas semanas antes. Los tratamientos antiagregantes y anticoagulantes favorecen su desarrollo. Suelen manifestarse como torpeza para la marcha o el lenguaje, o bien como dolor de cabeza o demencia rápidamente progresiva. En caso de alcanzar un volumen crítico o dar lugar a una alteración neurológica van a precisar la evacuación quirúrgica mediante trepanación.
- Hemorragia subaracnoidea traumática: Es una sufusión hemorrágica que tiene lugar debajo de la aracnoides, la capa meníngea intermedia. Por sí sola no es capaz de ejercer un efecto compresivo sobre el cerebro, por lo que no precisa tratamiento quirúrgico. En sus formas simples y cuando no asocia otras lesiones de mayor envergadura suele tener un curso leve.
- Contusión cerebral hemorrágica: Se trata de lesiones hemorrágicas dentro del cerebro como consecuencia de un traumatismo. Pueden aparecer o aumentar de tamaño de forma diferida, principalmente en las primeras 48-72 horas. En caso de alcanzar un volumen crítico o dar lugar a una alteración neurológica, debe valorarse la evacuación quirúrgica.
- Edema cerebral difuso: En estos casos tiene lugar la inflamación generalizada del parénquima cerebral como consecuencia del traumatismo. Ello da lugar a un estado de inconsciencia que generalmente debe ser mantenido y controlado mediante el coma inducido. Es preciso controlar la presión intracraneal llevando a cabo ajustes de tratamiento para evitar incrementos peligrosos en la misma. En caso de que no se logre el control de la presión intracraneal debe considerarse la intervención quirúrgica.
- Lesión axonal difusa: A diferencia de los anteriores se trata de una lesión más sutil (pues tiene lugar a nivel microscópico) que, sin embargo, puede tener consecuencias devastadoras. En ella se produce el cizallamiento de parte de las conexiones intracerebrales generalmente debido a traumatismos de alta energía en los que se producen fuerzas rotacionales sobre la cabeza. La Resonancia Magnética representa una herramienta fundamental para su diagnóstico. Existen diferentes formas y grados de gravedad. Aún en los casos severos, puede tener lugar la recuperación neurológica incluso meses después.
Neurocirugía vascular
La patología vascular cerebral neuroquirúrgica comprende las siguientes entidades:

- Hemorragia subaracnoidea espontánea: Se denomina así a la hemorragia cerebral que tiene lugar por debajo de la aracnoides, esto es, la capa meníngea intermedia que rodea el parénquima cerebral. Se trata de un cuadro de gravedad extrema con una mortalidad en torno a un 50%. Suele presentarse como una cefalea muy intensa referida comúnmente como «la peor cefalea de mi vida», seguida de náuseas, vómitos, fotofobia, así como dolor y rigidez cervical. Puede provocar la pérdida de la conciencia incluso el coma de rápida instauración, generalmente en los casos más graves, de manera que se estima que un 10-15% de los casos pueden fallecer de forma súbita. Están provocadas en un 75-80% de casos por la ruptura de aneurismas cerebrales, esto es, dilataciones anormales de las arterias cerebrales debidas el daño en la pared de las mismas. Pueden complicarse con la aparición de hidrocefalia, en cuyo caso será necesaria una intervención quirúrgica para la derivación del líquido cefalorraquídeo. Otra de las complicaciones asociadas más temidas es el resangrado precoz, provocado por la persistencia de la causa que ha generado la hemorragia, generalmente un aneurisma. A partir del cuarto día pueden aparecer el vasoespasmo y la isquemia cerebral diferidas, complicaciones debidas a la contracción de las arterias cerebrales ante la presencia de sangre a su alrededor. El diagnóstico de la hemorragia subaracnoidea se lleva a cabo mediante el TAC craneal o bien la punción lumbar en los casos en los que el primero no resulte esclarecedor. Debe realizarse un angioTAC para tratar de determinar la causa que ha provocado el sangrado, así como una arteriografía cerebral mediante cateterismo cerebral, para poder alcanzar el diagnóstico definitivo y ,en ocasiones, poder ocluir la lesión culpable del sangrado. Entre las causas que provocan las hemorragias subaracnoideas destacan las siguientes:
- Aneurismas cerebrales: Representan la causa más frecuente de hemorragia subaracnoidea espontánea (75-80% de los casos). Se trata de dilataciones de las arterias debidas a la debilidad en la pared de las mismas. Ello provoca que pueda tener lugar la ruptura de la arteria con la consiguiente hemorragia. La frecuencia de aneurismas cerebrales en la población se sitúa en torno a un 1-5%. En caso de ser diagnosticados inmediantamente tras una hemorragia subaracnoidea deben ser tratados tan pronto como sea posible para minimizar el riesgo de resangrado. En otras ocasiones tiene lugar el diagnóstico de aneurisma cerebral en pacientes asintomáticos sin que se haya producido la ruptura del mismo. En estos casos ha de valorarse la posibilidad de tratar el aneurisma de forma preventiva para evitar que en un futuro tenga lugar la hemorragia subaracnoidea. Tanto en un caso como en otro, el tratamiento puede llevarse a cabo de forma endovascular, mediante cateterismo cerebral, o bien mediante cirugía la cual permite el clipaje y cierre definitivo del aneurisma. La decisión sobre el tratamiento y la elección de una técnica u otra va a depender fundamentalmente de la localización del aneurisma, sus relaciones anatómicas con las ramas arteriales afectadas, el tamaño de mismo, la edad y condición clínica de cada paciente.


- Malformaciones arteriovenosas (MAV): Responsables de un 4-5% de las hemorragias subaracnoideas. Están representadas fundamentalmente por las MAV piales, caracterizadas por la presencia de ramas arteriales que dan lugar a un nido malformativo, compuesto por arteriolas y capilares aberrantes, que recibe sangre a alta presión y que drena a través de una o varias venas. Por lo general, se trata de lesiones complejas cuyo tratamiento va a estar condicionado por su tamaño, localización dentro del cerebro y características del drenaje venoso. En caso de que se diagnostiquen previo a su ruptura (generalmente debido a que pueden inducir crisis epilépticas) y midan menos de 3 centímetros, pueden ser tratadas con radiocirugía, si bien en estos casos el efecto del tratamiento se demora unos 2 años. La cirugía por su parte constituye el tratamiento estándar de estas lesiones. Puede tener lugar, al igual que los aneurismas, de forma previa a la ruptura o bien tras producirse ésta. Previo a la cirugía debe considerarse la posibilidad de la embolización de la lesión.

- Fistulas arteriovenosas: Conocidas también como fístulas durales, se trata de malformaciones arteriovenosas directas en las que tiene lugar la conexión entre una arteria y una vena sin que medie un nido vascular. Su diagnóstico se lleva a cabo mediante arteriografía. Su tratamiento consiste en el cierre de la conexión entre arteria y vena, el llamado «pie de vena», mediante cirugía o de forma endovascular.
- Cavernomas: Son un tipo de malformación no visible en la angiografía. Están compuestos por un nido de vasos malformativos aislados de la circulación cerebral principal. Pueden ser únicos o múltiples, en cuyo caso pueden formar parte de síndromes hereditarios familiares. En ocasiones están asociados a angiomas venosos en «cabeza de medusa». Pueden dar lugar a hemorragias cerebrales, por lo general menos graves que las que tienen lugar con otras malformaciones. Pueden también provocar crisis epilépticas. Su apariencia en la Resonancia Magnética les hace fácilmente identificables. En caso de provocar síntomas o sangrados recurrentes ha de considerarse su extirpación quirúrgica, sobre todo si se encuentran en una localizacion favorable.
- Hemorragia subaracnoidea angionegativa: Representa aproximadamente un 15% de la totalidad de las hemorragias subaracnoideas. Se caracterizan por la ausencia de una lesión vascular identificable como causante de la hemorragia. Suelen localizarse alrededor del tronco del encéfalo y tienen un comportamiento mucho más benigno con excelentes resultados.
Dentro de la patología cerebrovasculares existen otras entidades que pueden precisar tratamiento neuroquirúrgico:
- Accidente cerebrovascular hemorrágico ó hemorragia cerebral espontánea: En él la hemorragia tiene lugar en el interior del parénquima cerebral. Su causa más frecuente es la hipertensión. En otros casos puede deberse al debilitamiento de los vasos sanguíneos debido a la «angiopatía amiloide», típica de personas mayores de 70 años. Facilitada por los tratamientos anticoagulantes, puede también estar provocada por las lesiones previamente descritas (aneurismas, MAVs, tumores cerebrales, etc). Se trata de un cuadro grave que se manifiesta del mismo modo que un ictus. Ha de considerase la evacuación quirúrgica en caso de que la hemorragia alcance un volumen crítico, se acompañe de un deterioro del nivel de conciencia y se localice en un punto accesible.
- Infarto cerebral maligno: Es un infarto cerebral de grandes dimensiones en el que la inflamación que tiene lugar en el parénquima afectado ejerce un efecto compresivo sobre el resto del cerebro, lo que puede conducir al coma y al fallecimiento en más de un 80% de los casos si no se pone remedio. El remedio en este caso viene dado por la craniectomía descompresiva que ha demostrado reducir de manera importante la mortalidad y en menor medida las secuelas neurológicas.














