- Fistulas arteriovenosas: Conocidas también como fístulas durales, se trata de malformaciones arteriovenosas directas en las que tiene lugar la conexión entre una arteria y una vena sin que medie un nido vascular. Su diagnóstico se lleva a cabo mediante arteriografía. Su tratamiento consiste en el cierre de la conexión entre arteria y vena, el llamado “pie de vena”, mediante cirugía o de forma endovascular.

- Malformaciones arteriovenosas (MAVs): Responsables de un 4-5% de las hemorragias subaracnoideas. Están representadas fundamentalmente por las MAV piales, caracterizadas por la presencia de ramas arteriales que dan lugar a un nido malformativo, compuesto por arteriolas y capilares aberrantes, que recibe sangre a alta presión y que drena a través de una o varias venas. Por lo general, se trata de lesiones complejas cuyo tratamiento va a estar condicionado por su tamaño, localización dentro del cerebro y características del drenaje venoso. En caso de que se diagnostiquen previo a su ruptura (generalmente debido a que pueden inducir crisis epilépticas) y midan menos de 3 centímetros, pueden ser tratadas con radiocirugía, si bien en estos casos el efecto del tratamiento se demora unos 2 años. La cirugía por su parte constituye el tratamiento estándar de estas lesiones. Puede tener lugar, al igual que los aneurismas, de forma previa a la ruptura o bien tras producirse ésta. Previo a la cirugía debe considerarse la posibilidad de la embolización de la lesión.

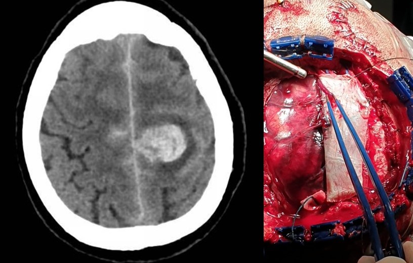
- Aneurismas cerebrales: Representan la causa más frecuente de hemorragia subaracnoidea espontánea (75-80% de los casos). Se trata de dilataciones de las arterias debidas a la debilidad en la pared de las mismas. Ello provoca que pueda tener lugar la ruptura de la arteria con la consiguiente hemorragia. La frecuencia de aneurismas cerebrales en la población se sitúa en torno a un 1-5%. En caso de ser diagnosticados inmediantamente tras una hemorragia subaracnoidea deben ser tratados tan pronto como sea posible para minimizar el riesgo de resangrado. En otras ocasiones tiene lugar el diagnóstico de aneurisma cerebral en pacientes asintomáticos sin que se haya producido la ruptura del mismo. En estos casos ha de valorarse la posibilidad de tratar el aneurisma de forma preventiva para evitar que en un futuro tenga lugar la hemorragia subaracnoidea. Tanto en un caso como en otro, el tratamiento puede llevarse a cabo de forma endovascular, mediante cateterismo cerebral, o bien mediante cirugía la cual permite el clipaje y cierre definitivo del aneurisma. La decisión sobre el tratamiento y la elección de una técnica u otra va a depender fundamentalmente de la localización del aneurisma, sus relaciones anatómicas con las ramas arteriales afectadas, el tamaño de mismo, la edad y condición clínica de cada paciente.





